嗦螺一时爽 小心气管伤
发布时间:2023-11-06 17:57
本文来源: 系统
分享到:
民间有谚语“三月田螺满肚子,清秋田螺最肥美”。田螺是颇受广西百姓喜爱的美食,但嗦螺不小心,容易酿成大祸。近日,52岁的曾某就因和好友一起嗦田螺,而紧急前往南溪山医院求医。
曾某在食用田螺后开始出现反复咳嗽,此后的5天时间里一直寝食难安,无奈之下,他只得到医院求助。医生通过肺部CT检查,发现曾某的主支气管内有可疑异物。于是曾某入住南溪山医院呼吸与危重症医学科二病区。
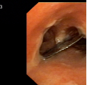
呼吸二病区主任屈东明博士通过气管镜检查,发现了“元凶”——一个田螺盖卡在大气道上,此时田螺盖已部分嵌顿,不能活动。经过全面评估和相关检查,屈东明决定带领团队为曾某进行全麻硬镜下困难异物取出术。

(支气管检查)
手术当天,专家团队充分准备,在无痛麻醉下为患者进行手术。因曾某此前有冠心病,还曾放过冠脉支架,手术过程中曾某的心率一度下降至30次/分,整个手术过程可谓是惊心动魄,好在手术医生快狠准,通过内镜精确定位,短时间内成功地将一个大小约20*25mm的田螺盖从患者气道中顺利取出,术后患者没有发生任何并发症。在手术后的观察期间,曾某恢复良好,咳嗽症状得到了显著缓解。

(田螺盖被取出)
屈东明介绍,气管异物是呼吸学科较为常见的病症。今年以来,已有数例因气道异物在呼吸二病区治疗的患者,多数为儿童及老年人。异物误入气道十分危险,严重者可在短时间内引起窒息死亡。一旦有异物卡住喉咙,异物掉入大气道,应紧急就医,避免延误病情。
通讯员:杨彩红
扫一扫 看病更方便
