人工智能精准放射治疗中心简介
恶性肿瘤的传统治疗手段主要有手术、化疗和放疗,三架马车齐头并进。其中,70%的肿瘤患者治疗过程中需要用到放射治疗;很多百姓谈癌色变,实际上癌症并没有这么可怕,据世界卫生组织统计,55%以上的癌症是可以治愈的,比糖尿病的治愈率还高。在这55%可治愈的恶性肿瘤患者中,27%可通过手术治愈,22%可通过放疗治愈,6%可通过化疗治愈。近年来,随着科技的发展,分子靶向治疗、免疫治疗、基因编辑治疗逐渐走进癌症治疗的大家庭,但是,他们依然不能撼动放疗在癌症治疗中的绝对核心地位。
区南溪山医院对肿瘤的放射治疗,经过几十年发展取得巨大进步!依靠最先进的放疗设备,放疗已经实现了精确定位、精确计划、精确治疗。通过“三精”放疗,降低了正常组织的受照剂量,特别是可能涉及射野内的重要器官的剂量在允许的耐受范围内,使靶区剂量增加成为可能。放疗疗效的提升一直是放疗专家们努力拓展的方向!
精准放疗时代要求治疗设备治疗束流精度进一步提高;设备安装验收、临床质控效率进一步提升;高负荷临床投运后设备及高精束流稳定性也要进一步提高!
所谓“精准放疗”,分3个层次的精准。
第一个层次是指物理精准。包括精准定位,精准引导。依赖于专用的定位CT、MR、磁共振在线引导,避免放疗过程中出现未知的偏移,每一步都强调精度。第二个层次是指从物理精准走向生物精准。是从基因方面分析患者的耐受性和肿瘤敏感性,从而给予精准剂量、按需照射。第三个层次是指生物精准再深一个层次,把肿瘤内区分出不同的亚区域,让其差异成像,并在照射的时候,关注到每一个点的差异,取得更好的照射效果。当然,未来我们也可以采用纳米药物进入肿瘤内部,改善肿瘤微环境,把乏氧环境改成富氧环境,酸性环境改成碱性环境,提升放疗的敏感性,降低放疗剂量。
精准放疗到底是什么呢?“精准放疗”已成为大多数肿瘤可首选的局部根治手段;它在某些病种上,不但达到了与手术同样的效果,而且规避了手术风险。因此,对于实质器官局限性肿瘤的治疗,手术做不到的,精准放疗能做到,手术能做到的精准放疗可以做的更好,创伤更小,生活质量更高,适应范围更广;同时接受治疗的病人不受年龄、体质限制,过程简单,无痛苦,为无创伤性治疗,可保留患病器官的生理功能,提高生活质量,副作用小,不会带来手术的麻醉意外、术后感染;也不会有化疗药物的呕吐、脱发等副反应。
未来在精准的基础上,放疗也会逐步实现智能化照射,将复杂的技术简单化,从放疗定位、靶区勾画、计划优化到治疗实施,一个按钮即可全部自动化实现。
区南溪山医院在精准放疗和智慧放疗的路上,积极探索,勇攀高峰,近年来经过多次反复调研及科学论证,医院最终选择了当前非常前沿且高效的瑞典医科达Infinity“可视化”四维影像引导医用直线加速器,最新一代的智能数字化控制系统集成了高速高精度多叶光栅(Agility)和先进的四维实时影像采集功能,确保治疗过程的快速和精准。将全面高效的开展立体定向放疗(SBRT)、图像引导放疗(IGRT)、调强放疗(IMRT)、容积调强放疗(VMAT),以及近距离照射等技术,同时基于呼吸门控技术和实时影像监控技术,可全程掌控调整患者的治疗精度,能够像手术刀一样准确“切掉”肿瘤组织,并在最大程度上保护正常组织并降低放疗反应。“可视化”四维影像引导技术不但可以在治疗前检测患者体内肿瘤的位置,而且可以在治疗过程中实时监测肿瘤,实现治疗全流程的肿瘤追踪,覆盖了以往治疗过程中肿瘤监测的盲点。该技术治疗范围也很广,可以适用于从小到大,从简单到复杂的全身各类肿瘤的放射治疗,是南溪山医院技术革新的新起点。
南溪山医院新装机的直线加速器,是目前国际最先进的可视化四维影像引导医用直线加速器,依托人工智能精准放射中心的建设,将致力于开展放疗指征精准、生物靶区精准、生物剂量精准、生物评价精准、生物修饰精准的五个精准施治,为桂北乃至湘南地区人民群众提供最优质的放疗服务,推动医院高质量发展。
放射治疗非常依赖团队作战。每位肿瘤患者从放疗开始到放疗结束,整个治疗团队要依次对患者完成体位固定、模拟定位、靶区勾画、剂量处方给予和限定剂量定义、制定计划、审核计划,验证计划、放疗实施、放疗副作用监测和处理等多个环节,分别需要医生、物理师、剂量师、工程师、治疗技师、护士之间的通力合作,每个环节的专业性、准确性都将影响整个放疗计划的质量。目前,放疗科现有的骨干力量,各主诊教授均具有10年以上的放射肿瘤治疗经验。
基于人工智能的智慧化放疗
1、运用人工智能靶区勾画系统:
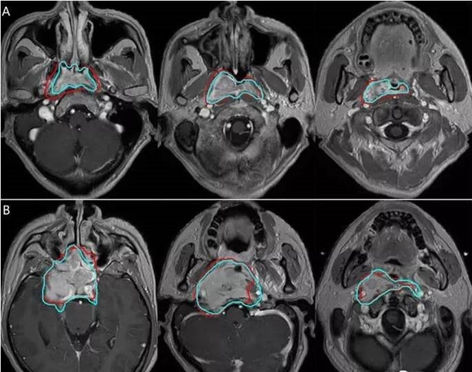
自治区南溪山医院放疗科引进了桂北地区首个人工智能(AI)靶区勾画平台,该平台能够快速、精准、高效地对头颈部、胸腹部肿瘤靶区进行自动勾画,有利于提高肿瘤靶区勾画的准确率,帮助医生制定更合理地治疗方案,“人工智能+专家审核”,有助于提高患者的生存期,减少放疗并发症,提高治疗后的生活质量。例如在鼻咽癌放疗过程中,加速器治疗机发出的射线要从不同的角度穿过肿瘤周围的脑干、脊髓、颞叶、眼球、视神经、耳蜗等40多个重要器官到达鼻咽部肿瘤区域,治疗精度要求在毫米级别,因此,鼻咽癌肿瘤靶区定位勾画的精确度就显得极其重要。因为照射不足可能导致肿瘤复发,照射过度会增加放射性脑坏死、听力下降、视力下降、言语含糊等严重的后遗症。但如今,鼻咽肿瘤靶区的勾画却普遍为人工勾画,准确性基本依赖于放疗科医生的经验,存在不快(3-10小时)、不准(准确率<70%)、不狠(变异超过50%)的问题。
2、科研—孜孜不倦,不断探索:
当前,信息化和数字化技术的高速发展,为医疗健康行业带来颠覆性变革。智慧医院深度融合互联网技术、人工智能技术,提供面向医务人员的“智慧医疗”、面向患者的“智慧服务”、面向医院的“智慧管理”,实现患者与医务人员、医疗机构、医疗设备之间的有效互动,构建全生命周期的医疗服务体系,优化资源配置、创新服务模式势在必行。南溪山医院放疗科帅先在桂北地区实现了肿瘤放疗信息化的技术应用和基于人工智能的癌症早期筛查及应用的科研探索。发表多篇SCI。
3、
我院放疗科近期成功引进国际顶尖医学图像处理软件“MIM Software”。MIM 公司作为全球医疗图像算法引导者,始终致力于高效、实用、切实服务于科室与患者的宗旨。遍布于全球的影像中心、医院、专科诊所研究机构及药品公司,无时无刻都在享受着MIM软件带来的个性化、高效率及便捷。
作为放射肿瘤治疗流程中不可或缺的重要组成部分,软件运用先进的配准算法提供了自动勾画、自适应放疗、融合配准、剂量叠加等一整套完整肿瘤学工具,同时具备独有的QA工具和多项专利工具。在提高配准及勾画精确度、节省时间成本等多方面协助科室成功实施CT 与多序列核磁共振影像、PET-CT影像的多模态融合配准等多项临床工作。
在MIM软件上线后,逐步优化我肿瘤中心的放疗工作流程、提升勾画质量、节省工作时间,为患者提供了更加精确的融合,使得整个治疗过程更加精准,同时作用于后续工作流程,可显著提升治疗效果。科室成熟的管理运行模式与MIM 软件独特的创新服务相结合促成了显著成果。双方的有力结合,以技术手段确保流程化管理,确保标准化、精确化治疗,最终惠及患者。软件不断迭代技术算法配合科室发展方向,赋能未来更加优质化放疗工作。
4肿瘤放疗信息化建设落地:
区南溪山医院作为桂北地区肿瘤治疗的资深医院,在肿瘤放疗及科室的建设方面始终走在同类型医院的前列。医院放疗科由放射物理组、放疗技术组和临床病区共同组成,现有放疗医生10名、物理师3名,放射治疗师9名,护士15名。在设备配置方面,现有直线加速器2台,CT模拟定位机1台;年均治疗病人在600余人次左右。
然而,面对恶性肿瘤病人的持续增长和各类型治疗设备的不断引进,医院管理层在保障治疗安全、合理分配放疗资源、工作流程优化、临床科研数据获取、科室绩效管理等诸多方面都遇到了新的困难与挑战。显然,用传统的管理方式已无法有效解决所面临的难题,放疗信息化建设已经迫在眉睫。医院所需要的肿瘤信息管理系统不仅是要面对放疗科本身,还要求能够为全院相关科室提供临床所需的放射治疗、影像、收费等相关信息。因此,为了有效提高病人就诊体验,真正做到安全高效的放疗管理,医院领院方经过仔细调研和慎重决策,于2020年底选择了国际知名的医科达MOSAIQ®系统来建设专门的肿瘤放疗信息平台(OIS)。在完成了此次肿瘤放疗信息平台建设后,医院放疗科的日常业务实现了运行在统一的MOSAIQ®肿瘤放疗信息系统中,完成了对现有全部加速器、TPS、CT模拟机等放疗设备的资源整合;为放射物理组、放疗技术组、护理组和临床病区搭建起了统一的信息共享平台;实现了与医院HIS系统的集成与信息交互;从而规范并优化了放射治疗的工作流程;建立了符合医院教学、科研方向的临床数据库;并通过短信平台建立了更加人性化的与患者之间的沟通渠道。
5、智慧化模具存放系统:率先实现了对于模具的信息化管理,使每一个模具都有专属的二维码,一扫即可精准快速存取,既确保医疗服务质量又给患者提供了极大的便利。
每一个生命都值得被尊重!医生的天职是救死扶伤,在制定治疗方案时,除了要精确分析肿瘤特点外,还要综合考虑患者的年龄、身体状态、经济水平、家庭状况、预期诉求等,合理取舍,尽量减少患者的损伤和负担,提高治疗效果。
做医生首先要有仁心,对待患者要像对待亲人一样,从内心真的感恩他们,因为没有患者就没有医生的成长。但是,光有仁心还不够,还要有真正高超的医术,要踏实钻研,突破创新。孙子兵法有云“以正合,以奇胜,故善出奇者,无穷如天地,不竭如江海”,讲的就是要创新,尤其是治疗癌症方面,要有创新的方法和思路,因为旧的方法总有不足,医生需要创新、整合,建立更安全、更有效的方式治疗更多患者。





扫一扫 看病更方便
