自治区南溪山医院开展荧光引导全腹腔镜下胆囊癌根治术
发布时间:2024-03-25 14:59
本文来源: 系统
分享到:
近日,自治区南溪山医院肝胆胰脾外科成功完成一例荧光全腹腔镜下胆囊癌根治手术,标志着医院在肿瘤腹腔镜微创精准治疗方面取得新进步。
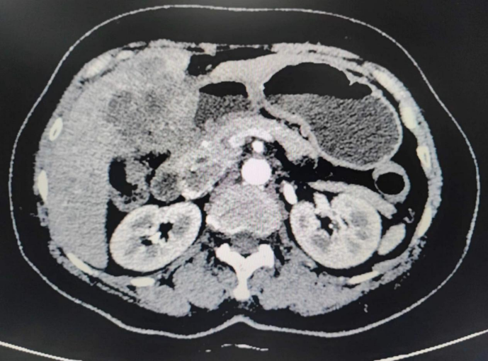
患者徐女士因右上腹阵发性疼痛1周,就诊于南溪山医院。腹部彩超、上腹部CT、磁共振、穿刺活检等检查提示肝占位性病变(胆囊癌肝转移可能)。住入肝胆胰脾外科后,科室负责人杨志坚、副主任黄芳详细询问患者病情,仔细查看影像学资料,确认患者胆囊癌肝转移可能,未见远处转移,有完整切除可能。患者肿瘤较大近10cm位于肝门部占位效应明显,且可能侵犯胃窦、十二指肠。
手术团队充分评估手术风险后,详细制定了手术方案以及备用方案,并征得患者及家属的同意。经最终讨论,手术团队决定为患者行荧光引导全腹腔镜下胆囊癌根治手术。
荧光腹腔镜技术是在荧光导航的指引下,几十秒内可实现组织和器官显影,精确定位肿瘤边界和发现微小病灶,做到肿瘤精准切除,淋巴节清扫更彻底。
手术由杨志坚、黄芳医师双主刀模式执行,麻醉科、手术室密切配合,历时3个多小时,完整切除胆囊及肝脏4b+5段并清扫周围淋巴结。术中荧光引导标记肿瘤切缘,在麻醉科谢广晨医师实施低中心静脉压技术的帮助下,出血不足100ml。在围手术期通过快速康复外科流程,患者术后基本无腹水。病理证实为胆囊低分化腺癌,淋巴结未见转移。术后6天患者顺利出院。
肝脏肿瘤吲哚箐绿荧光染色术中图片

肿瘤标本
胆囊癌发病隐匿、恶性程度高,多数由胆囊结石刺激导致。腹腔镜下胆囊癌根治手术难度大,对手术团队的技术要求高。本次手术的成功,充分彰显了自治区南溪山医院肝胆脾胰外科专业团队的技术实力,在提高手术微创化、精准化程度上再迈新台阶。
通讯员:杨志坚
扫一扫 看病更方便
