支架置入气管,“撑”开生命通道
近日,在自治区南溪山医院呼吸与危重症医学科学科带头人、一病区主任佘巍巍的带领下,成功为一名晚期肺癌并支气管狭窄的患者实施了金属覆膜支架置入术。
67岁的韦大爷(化名),1个月前确诊为肺腺癌,近半个月出现明显胸闷,活动即感呼吸困难,反复在外院诊治,效果不佳,慕名前来南溪山医院呼吸与危重症医学科一病区就医,经肺部CT显示,右侧肺肿瘤完全堵塞管腔,引起右肺不张,同时合并两肺多发炎症病变。解除气道梗阻是当务之急!
韦大爷体质弱,血压偏低,合并心律失常,心肺功能极差,目前最主要是解决顺畅通气问题,改善患者生活质量。佘巍巍主任团队根据患者的影像资料,初步决定为韦大爷实施右中间段支气管支架置入术。
气管支架置入是治疗气道狭窄重要手段之一,它可以迅速解决患者呼吸困难等症状,但手术难度大,这就要求医生在操作时精准快速,一次到位。由于患者情况极差,病情危重,支架的置入需在全麻下进行操作,这无疑加大了操作风险与难度,对手术及麻醉团队提出了更高的要求。

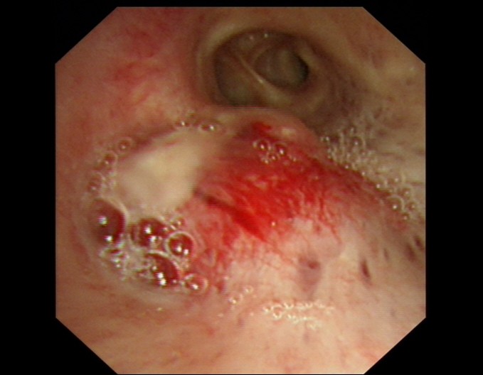
图1 气道支架置入术前右中间段支气管完全闭塞
置入硬镜后镜下可见右中间段支气管开口完全被肿瘤组织堵塞,且肿瘤组织血供丰富,局部有少量出血。

图2 佘巍巍主任在给韦大爷行气道支架置入术
手术中,可见右中间段支气管开口完全被肿瘤组织堵塞,且肿瘤组织血供丰富,局部有少量出血。在麻醉科医师配合下,进行全麻协同应用硬质气管镜联合电子支气管镜,行气道内肿物切除术及球囊扩张术后,佘巍巍主任将气道金属支架释放器经硬镜送入右中间段支气管,松解绑线,金属覆膜支架释放,气道支架精准“落户”在最佳位置,李大爷的气道瞬间通畅。


图3 气道支架置入术后右主支气管通畅
术后患者生命体征平稳,呼吸困难明显缓解。伴随着这条通道的重新打开,李大爷脱离了病危风险,也为下一步肿瘤治疗争取了宝贵的时间。
气道支架置入术的重要意义在于能迅速、有效缓解恶性肿瘤(包含肺癌、食管癌等)所致中央气道狭窄相关症状,为治疗肿瘤争取更充裕的时间和机会。气道支架置入术在我科已开展多年,为许多气道狭窄患者成功罝入硅铜支架、Y型金属支架等,今后,我科将在呼吸介入治疗的道路上不断精进,进一步提升支气管镜诊疗技术,全力打造区域性呼吸疾病救治中心,为更多急危重症患者带去生的希望。
通讯员:陈旭
扫一扫 看病更方便
