南溪山医院多学科携手攻坚,成功切除食管巨大肿瘤
来自桂林市灵川县的金阿姨因为食管巨大肿瘤伴有吞咽、呼吸困难的症状,近几个月辗转于区内外各大三甲医院,其中包括广州某全国知名医院,但均因手术难度大、风险高而未能得到满意的治疗方案。就在家人几近绝望之际,他们于近日慕名找到了南溪山医院胸外科的熊荣生主任。
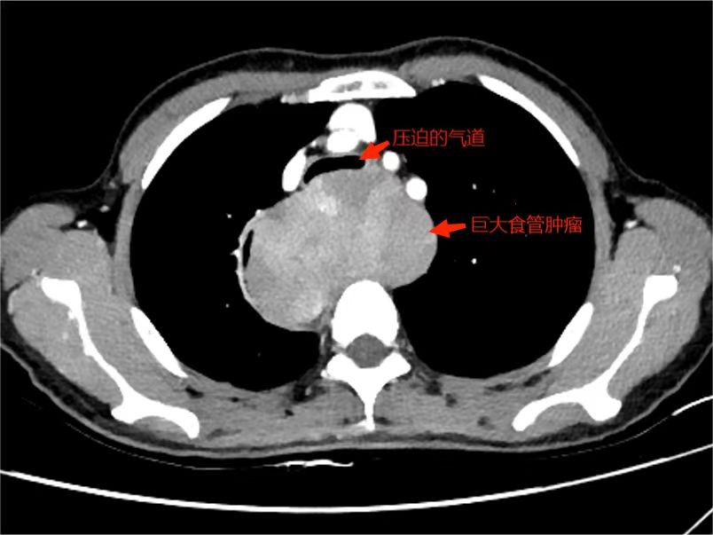
熊荣生主任在仔细研究金阿姨的病情和检查结果后,考虑到食管肿瘤大(10.2cm×8.2cm×5.8cm)压迫气道引起气道狭窄。若继续保守治疗,随着肿瘤的继续增大,呼吸及吞咽困难的症状将会持续加重。若考虑进行手术切除,可能出现麻醉时通气困难、麻醉后气管软化塌陷,造成窒息缺氧危及生命。

影像图
胸外科科立即组织了麻醉科、综合重症医学科、呼吸与危重症医学科二区、消化内科等多个科室进行MDT(多学科诊疗)讨论。经过充分的研究和准备,团队为金阿姨的病情制定了详细的手术方案,并做好了术中可能出现的各种情况的应对方案。若术中气管插管困难或气管软化塌陷,呼吸与危重症二区立即在支气管镜下行气道支架置入术,同时综合重症医学科术中做好ECMO(体外人工膜肺氧合)上机的准备。经过密切的沟通后,金阿姨和她的家人同意了MDT诊疗制定的手术方案。

MDT多学科诊疗
5月22日手术当天,在李远强主任医师、贺松柳副主任医师等麻醉科的医护人员协助下,经过反复尝试,救治团队利用纤维支气管镜引导及体位的调节为金阿姨置入了双腔气管插管,确保了通气顺畅并为手术过程保驾护航。随后胸外科手术团队在熊荣生主任的带领下,历经三个小时切除了食管巨大肿瘤,并为金阿姨进行了消化道的重建。整个手术过程虽然充满了挑战,但在各个团队的默契配合和紧密协作下,最终取得了成功。

手术现场
金阿姨在胸外科医生和护士的精心护理下,身体逐渐恢复,呼吸困难的症状改善,能够顺利进食,并于近日顺利出院。出院前,金阿姨和她的家人也对各个科室付出辛勤努力的医护人员们表达了深深的感激之情。

患者为胸外科团队送上锦旗
此次金阿姨能够顺利康复,彰显了MDT诊疗模式的巨大优势。多学科协作能够为患者提供更加全面、精准、个性化的治疗方案,提高治疗效果和患者满意度。南溪山医院也将继续秉承这一理念,为更多患者提供优质的医疗服务,帮助他们战胜疾病、重获健康。
通讯员:郑一青
扫一扫 看病更方便
