头痛背后藏“定时炸弹” 南溪山医院机器人精准“拆弹”保平安
近日,广西壮族自治区南溪山医院神经外科成功完成了应用机器人辅助实时可视化抽吸脑脓肿微创手术,精准“拆弹”,让患者重获健康。
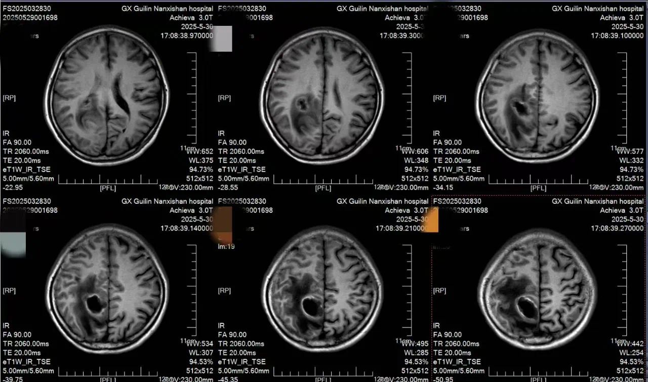
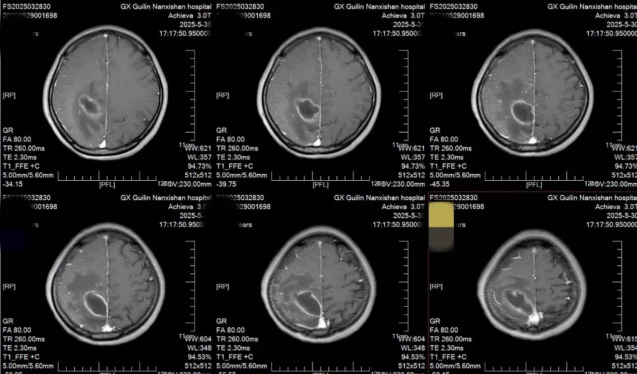
患者李女士自诉约2天前无明显诱因出现头痛,疼痛性质为阵发性胀痛,可自行缓解,伴有左侧肢体乏力,行走不稳。在本地医院检查后诊断:右侧顶叶占位性病变并周围脑组织水肿。为进一步治疗,来到南溪山医院就诊,完善各项检查后确诊为:功能区脑脓肿。
脑深部及功能区脓肿是一种严重的脑部疾病,传统治疗方式往往面临诸多挑战。由于病变位置深,手术难度大,医生在操作过程中不仅需要避开重要的神经和血管,还要确保脓肿能够被彻底清除,稍有不慎就可能损伤神经,导致肢体瘫痪甚至更严重的后果,对患者的生命健康造成巨大威胁。
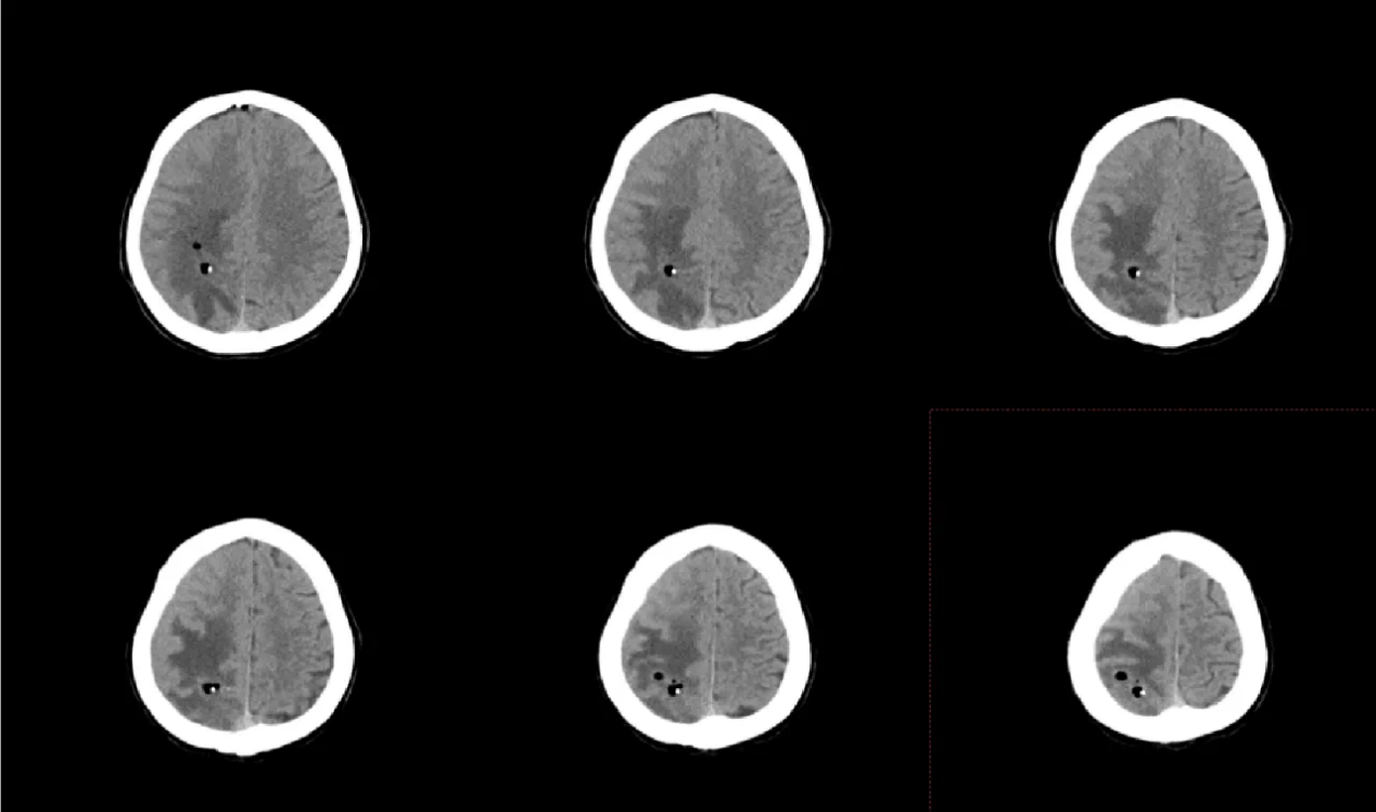
面对李女士的病情,神经外科团队经过反复讨论,决定采用机器人辅助实时可视化抽吸微创手术。手术前,团队通过3D影像重建技术,为李女士的脑部构建了精准的三维模型,清晰标注出脓肿的大小、形态以及与周围血管、神经的位置关系。手术机器人则根据这些数据,自动规划出最优穿刺路径,误差可控制在0.5毫米以内。
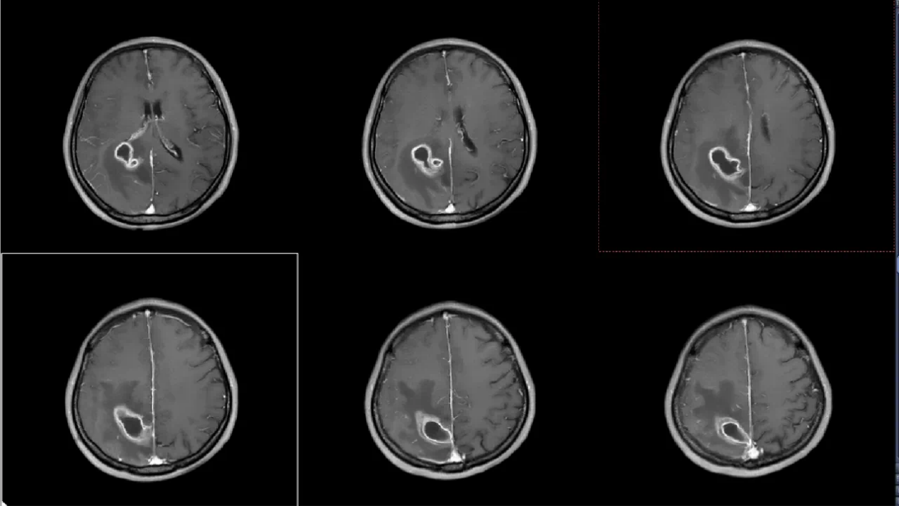
在机器人“导航”系统的引导下,神经外科主任王文波主任医师手持穿刺针,沿着预设路径稳步推进。术中,实时影像系统如同“透视眼”,清晰显示穿刺针的位置和脓肿内部情况,医生可以动态观察抽吸过程,确保每一步操作都精准无误。传统开颅手术需要打开十几厘米的切口,创伤大、恢复慢,还可能引发感染。而机器人辅助手术不仅创伤小,还能最大限度减少对正常脑组织的干扰。术后李女士肢体功能逐渐恢复,一周后完全恢复。
此次机器人辅助实时可视化抽吸微创手术治疗脑深部及功能区脓肿的常规开展,不仅提升了南溪山医院神经外科在该领域的影响力,更是医院医疗技术进步的有力证明,科室始终致力于引进和应用先进的医疗技术,持续提升诊疗水平,不断在该领域积累丰富的经验,赢得患者的广泛赞誉,为更多患者带来康复的希望。







通讯员 刘咏
扫一扫 看病更方便
